
在心脏介入领域的巅峰挑战中,有这样一类手术:它要求医生在宛如发丝的血管中穿行,在跳动的心脏内进行毫米级的精准操作,而患者心脏自身的特殊结构,更是将每一步都置于风险之上,值得庆幸的是长沙经开医院心血管科黄浪静教授团队就成功挑战了这样一个"手术禁区"。近日,长沙经开医院在国内知名心血管专家余再新院长的主持下,心血管科黄浪静主任带领团队,在超声、麻醉、放射、护理等多学科团队的通力协作下成功应用VenusA-Deluxe为一位高龄高危、解剖结构复杂的风湿性心脏瓣膜病患者完成了一例高难度经导管主动脉瓣置换术(TAVR)。手术过程惊心动魄,团队凭借精湛技术与默契配合,成功化解术中突发循环崩溃的危急情况,最终使患者转危为安,取得圆满成功。这不仅彰显了长沙经开医院心内科团队在复杂心脏介入领域过硬的技术实力与应急处理能力,也标志着其在结构性心脏病微创介入治疗领域达到了新的高度。

术后留影
术前病例分析与评估
患者:女性,72岁。
主诉:发现心脏瓣膜异常20年,晕厥1次。1月前快走时突发晕倒,伴意识丧失,持续1分钟左右自行苏醒。
超声提示:
主动脉瓣峰值流速5.5m/s,平均跨瓣压差约78mmHg;
主动脉瓣二叶瓣畸形并钙化,主动脉瓣重度狭窄;
左室壁增厚,左室收缩功能正常,左室顺应性减退;
二尖瓣、三尖瓣轻度返流。
术前CT评估:TYPE 0型二叶瓣,瓣叶肥厚,前后交界粘连,瓣叶无明显钙化,双冠异窦,左冠开口高度约16.6mm,右冠开口高度约16.7mm。法式窦结构小,STJ高度约21.6mm,直径约24.4mm,升主动脉未见明显增宽,心脏角度约42°,左室大小尚可,心尖部可见局部心肌薄弱。
入路情况:主动脉弓部走行欠佳,主动脉弓部各主要分支开口处未见明显狭窄征象、未见发育变异,胸主动脉、腹主动脉走行较平直,管腔未见明显狹窄,双侧髂动脉-股动脉走形较平直,管腔未见明显狭窄,综合考虑,推荐右侧股动脉做为主入路,右侧股动脉穿刺水平管腔直径约为5.8mm,右侧股动脉分叉约在股骨头下1/3水平。

TYPE 0型二叶瓣,瓣叶肥厚,前后交界粘连,瓣叶无明显钙化


钙化积分:0mm³,无钙化







入路情况
病情分析:患者情况复杂,手术风险极高
患者主动脉瓣为TYPE 0型二叶瓣,并因风湿病变导致瓣膜增厚,如同一道无法推开的“石门”,造成心脏向全身泵血的唯一通道严重梗阻。术前详细评估揭示了手术面临的“五大难关”:
瓣膜关:二叶瓣畸形且肥厚,人工瓣膜释放后可能因挤压展开不全,存在残余高压差风险。
冠脉关:患者左右冠状动脉开口高度均偏低(约16.6-16.7mm),且主动脉窦空间狭小,术中人工瓣膜可能堵塞冠脉开口,引发致命性心肌缺血。
心脏关:心脏角度偏大,心尖部心肌存在局部薄弱区,操作中稍有不慎极易导致心脏破裂。
入路关:主动脉弓部走行陡峭、弓距短,输送系统通过困难,犹如急转弯。
病情关:患者高龄,基础状况差,耐受力低。
手术策略:多学科精心谋划,制定个性化策略
面对如此复杂的“生命禁区”,黄浪静教授团队经过多次讨论,反复研读影像资料,制定了极其精细的手术方案和详尽的应急预案:采用右侧股动脉入路;选用小球囊谨慎预扩张,以“试探性”验证冠脉阻塞风险;选定VenusA Deluxe DL23型号瓣膜,计划采用“高位起锚、精准定位”的释放策略,并备好DL26瓣膜;全程强调“轻柔操作”,备好圈套器等耗材,为手术上了“多重保险”。
手术过程:术中突发“循环崩溃”,团队上演“生死时速”
术中,黄浪静教授带领团队按计划稳步推进:
患者取平卧位,在全麻及经食道超声心动图(TEE)和血管造影联合引导下,成功穿刺右侧股动脉,置入20F输送鞘管。穿刺点血管直径5.8mm,入路通畅。猪尾导管下行主动脉根部造影,清晰显示主动脉形态及无返流。在跨瓣过程中,考虑到患者心尖部心肌薄弱,导丝塑形偏大,全程操作轻柔,避免心肌损伤。
180 bpm起搏下进行球囊预扩张,患者突然出现血压急剧下降、心率紊乱的“循环崩溃”危象,手术室气氛骤然凝固,这是心脏介入手术中最危急的情况,瞬息之间决定生死。危急关头,黄浪静教授沉着指挥手术团队立即启动应急预案:立即给予持续而有力的胸外心脏按压,同时麻醉团队快速给予强效升压药,经约2-3分钟的持续心肺复苏(CPR)及积极药物支持后,患者自主心律及血压逐渐恢复稳定。
经TEE及主动脉根部造影紧急评估,未见心包填塞及主动脉根部严重损伤。团队综合研判认为,冠状动脉风险仍需明确,且为保障后续瓣膜安全释放,必须再次进行球囊预扩张以充分评估瓣膜反应及冠脉血流。
在调整血管活性药物至更稳定剂量、并做好所有应急准备后,再次进行球囊预扩张。此次扩张过程顺利,未再发生严重循环波动。造影证实球囊位置准确,无腰征,扩张过程顺利,无瓣周漏加重及冠脉阻塞征象。确定VenusA Deluxe DL 23 mm 自膨式经导管主动脉可回收瓣膜系统,经超硬导丝送瓣膜输送系统平稳通过股动脉、髂动脉及腹主动脉,无阻力送至主动脉瓣环位置。经多角度造影确认瓣膜支架标记点与主动脉瓣环、冠脉开口相对位置。最终,将瓣膜稳定释放并锚定于标准解剖位置。造影及TEE显示:人工瓣膜支架展开形态良好,无显著瓣周漏;主动脉瓣前向血流显著改善,平均压差大幅下降;左右冠状动脉显影清晰,患者血流动力学指标立时改善。
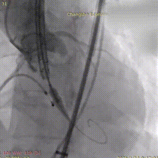
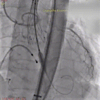
术中影像:

主动脉根部造影

18mm球囊预扩

输送系统和DL23瓣膜到达释放位置定位造影

瓣膜释放至三分之二处

瓣膜开始工作,造影评估,位置良好

瓣膜完全释放,造影评估,瓣膜位置良好
术后复查心脏超声示
主动脉瓣置换术后左室壁增厚、左室收缩功能测定在正常范围。术后超声显示Vmax:1.7m/s,mPG:10mmHg,二、三尖瓣轻度返流,房、室间隔未见明显过隔分流。
专家视角
术后黄浪静教授总结了TAVR手术的核心要义:充分的术前评估是基础,清晰的术中策略是蓝图,而团队的应急能力和敢于在关键时刻为患者承担风险的担当,才是最终成功的保障。
结语
本例手术的成功,是长沙经开医院心内科在处理复杂高危结构性心脏病方面技术实力的集中展现。它不仅仅是一例单纯的技术操作,更是一次对医院多学科协作能力、应急救治水平、以及勇于挑战技术巅峰的决心的全面考验。
未来,长沙经开医院心内科在余再新院长及黄浪静主任的带领下将继续勇攀技术高峰,深耕心脏瓣膜病介入治疗领域,为更多以往无法耐受传统开胸手术的高龄、高危心脏瓣膜病患者,提供更微创、更安全、更有效的治疗选择,为更多危重心脏瓣膜病患者打开“生命之门”,守护一方百姓的心脏健康。
专家简介

余再新
中南大学湘雅医院(点击查看专家详细简历)


黄浪静
长沙经开医院(点击查看专家详细简历)

扫码进入一瓣安享 启D未来学术专栏
了解更多精彩内容
· END ·

版权及免责声明:严道医声网旨在搭建学术传播及媒体发声平台,文内信息版权属于持有人,我们只提供传递信息之用。如有侵权,请联系我们删除。
点击“阅读原文” 进入 “一瓣安享 启D未来学术专栏”